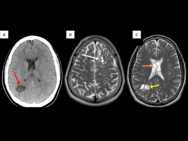
جهان خوردن گوشت خوک نیمپز مردی را به انگل مغزی مبتلا کرد عکسبرداری از جمجمه این مرد تعدادی کیست در قسمت ماده سفید مغز نشان داد عفونت قارچی مغز در فیلمهای آخرالزمانی؛ بیماری مرموزی که در کمین است علت عجیب سردرد هفت ساله زن استرالیایی دانشمندان چینی سویه جهشیافتهای از کرونا ساختهاند که به مغز حمله میکند